醫院品牌
醫生團隊
來院路線
在線咨詢
牙齒不齊 煩惱不止
這些症狀你是否也有?
點擊測試 60秒遇見自己嘅美
向美而生 為美而行
博碩資深專家團隊·專注牙齒美學修復
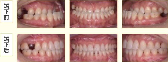
真實案例
展示區
矯正案例 對比照
測一下我嘅牙齒矯正需要幾錢
隱形矯正
vs
傳統矯正的區別
狂歡
特惠
·就在“齒”科
遠東口腔個性化數字矯正
適合不同年齡段人群
14年品牌沉澱-相信品牌的力量
榮譽資質
醫院環境